Sirenomelia fetal ultrasound - ultrascan center - الترا سكان
غير مصنف

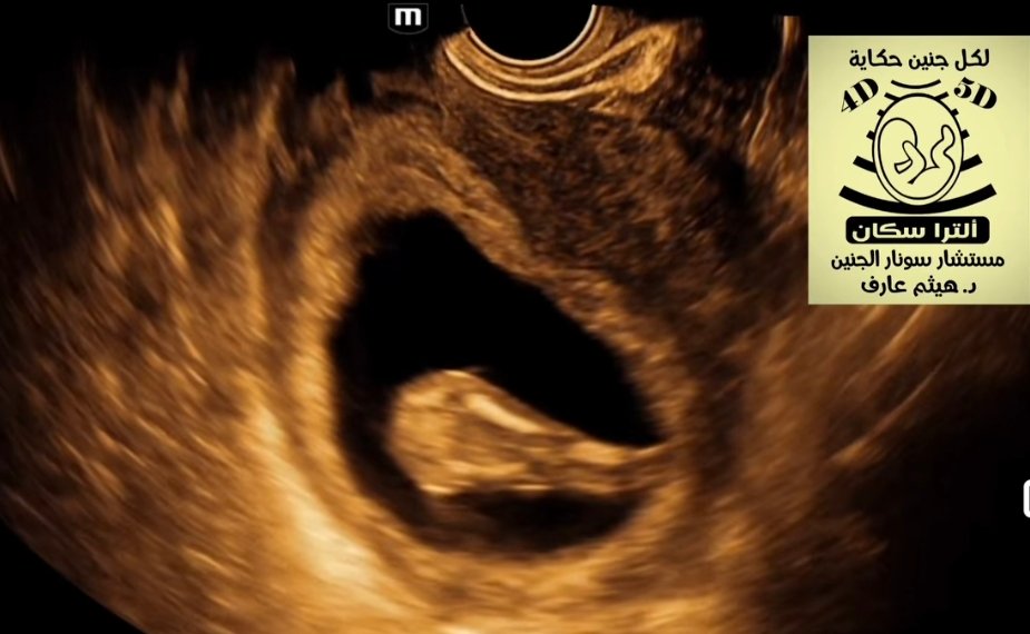
Sirenomelia fetal ultrasound

 Lower Limb Fusion: The most characteristic feature, where legs are conjoined into a single midline structure.Single Umbilical Artery: Frequently observed and often originating directly from the abdominal aorta (the “vascular steal” phenomenon).Bilateral Renal Agenesis: The absence of both kidneys is a common association.Severe Oligohydramnios: A lack of amniotic fluid (often due to renal agenesis) is typical in the second and third trimesters, which can make imaging the limbs much more difficult.Additional Anomalies: Non-visualization of the bladder, sacral agenesis (absence of the tailbone), and imperforate anus

n

مقالات ذات صلة

اترك تعليقاً

لن يتم نشر عنوان بريدك الإلكتروني. الحقول الإلزامية مشار إليها بـ *

زر الذهاب إلى الأعلى
إغلاق
إغلاق
اتصل بنا الآن